Dodatkowa śledziona
Torbiel Nerki
Cysta - Jajnik
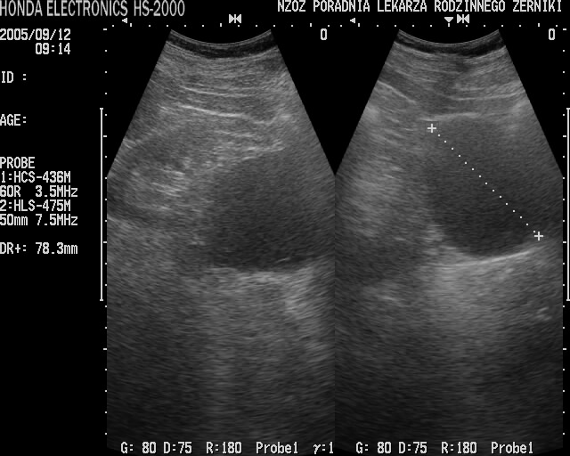
Guz nerki lewej
Sutek
Prostata
Płyn w opłucnej
Przepuklina brzuszna
Torbiel nerki
Tętniak
Torbiel wątroby
Trzustka
Trzustka torbiel
Węzły chłonne - brzuch
Polip pęcherzyka żółciowego
Powiększona śledziona u dziecka lat 5
Przerzut Raka żołądka do wątroby
Gruczołakowłókniak sutka
Macica- podejrzenie mięśniaka
Rak piersi
Rak pęcherza moczowego
Ureterocele
Rak nerki
Powiększony węzeł chłonny okolicy okołoaortalnej z powodu raka jajnika
Rak Tarczycy (prawego płata)
Rak Tarczycy (prawego płata)
Tętniak aorty brzusznej
Tętniak aorty brzusznej
Zerwanie mięśnia dwugłowego uda
Zerwanie I-go stopnia więzadła łąkotkowo-udowego
Zakrzepica żyl głębokich podudzia
Zakrzepica żyl głębokich podudzia
Zakrzepica żyl głębokich podudzia
Wolny płyn w jamie brzusznej
Nadczynność tarczycy
Nadczynność tarczycy
Nadczynność tarczycy
Tabletka w żołądku
Dwie dodatkowe śledziony
Drzazga w głowie u chłopca lat 9
Gruczolak przytarczycy dolnej lewej
Gruczolak przytarczycy dolnej lewej
Gruczolak przytarczycy dolnej lewej
Zapalenie kaletki pod ścięgnem m.półbłoniastego
Podagra-guzek dnawy
Podagra-guzek dnawy
Rak płuca z przerzutami do węzłów chłonnych
Rak płuca z przerzutami do węzłów chłonnych
Rak płuca z przerzutami do węzłów chłonnych
Węzy chłonne zajęte przez proces nowotworowy
Węzy chłonne zajęte przez proces nowotworowy
Węzy chłonne zajęte przez proces nowotworowy
Węzy chłonne zajęte przez proces nowotworowy
Dodatkowy płat Ridla wątroby
Dodatkowy płat Ridla wątroby
Torbiel sutka, punkcja z aspiracją
Torbiel sutka, punkcja z aspiracją
Torbiel sutka, punkcja z aspiracją
Krwotoczne zapalenie pęcherza moczowego
Krwotoczne zapalenie pęcherza moczowego
Krwotoczne zapalenie pęcherza moczowego
Guz pęcherzyka żółciowego
Guz pęcherzyka żółciowego
Guz pęcherzyka żółciowego
Zapalenie powieki górnej oka prawego
Zapalenie powieki górnej oka prawego
Zapalenie powieki górnej oka prawego
Nadnercze prawe prawidłowe u dorosłego
Nadnercze prawe prawidłowe u dorosłego
Choroba Takayashi-Tętnica szyjna
Choroba Takayashi-Tętnica szyjna
Choroba Takayashi-Tętnica szyjna
Kamień w pęcherzu moczowym
Guz piersi lewej- Rak
Guz piersi lewej- Rak
Guz piersi lewej- Rak
Zmiana w torbieli jajnika lewego
Zmiana w torbieli jajnika lewego
Zmiana w torbieli jajnika lewego
Niestabilna blaszka w lewej t.szyjnej wewnętrznej
Niestabilna blaszka w lewej t.szyjnej wewnętrznej
Niestabilna blaszka w lewej t.szyjnej wewnętrznej
Ucisk ganglionu na nerw - nadgarstek
Ucisk ganglionu na nerw - nadgarstek
Ucisk ganglionu na nerw - nadgarstek
Mononukleoza-powiększenie śledziony
Mononukleoza-powiększenie śledziony
Mononukleoza-powiększenie śledziony
Dren w otrzewnej z powodu wodogłowia
Dren w otrzewnej z powodu wodogłowia
Niedrożność tętnicy szyjnej wewnętrznej
Niedrożność tętnicy szyjnej wewnętrznej
Niedrożność tętnicy szyjnej wewnętrznej
Bark- zerwanie ścięgna
Bark- zerwanie ścięgna
Bark- zerwanie ścięgna
Grasica-Biopsja, pacjent lat 17
Grasica-Biopsja, pacjent lat 17
Grasica-Biopsja, pacjent lat 17
Niedrożność aorty brzusznej
Niedrożność aorty brzusznej
Niedrożność aorty brzusznej
Niedrożność aorty brzusznej
Niedrożność aorty brzusznej
Duży naczyniak wątroby
Duży naczyniak wątroby
Duży naczyniak wątroby
Drożna żyła pępkowa-zapalenie wątroby C
Drożna żyła pępkowa-zapalenie wątroby Cj
Drożna żyła pępkowa-zapalenie wątroby C
Nadciśnienie wrotne-zapalenie wątroby C
Nadciśnienie wrotne-zapalenie wątroby C
Nadciśnienie wrotne-zapalenie wątroby C
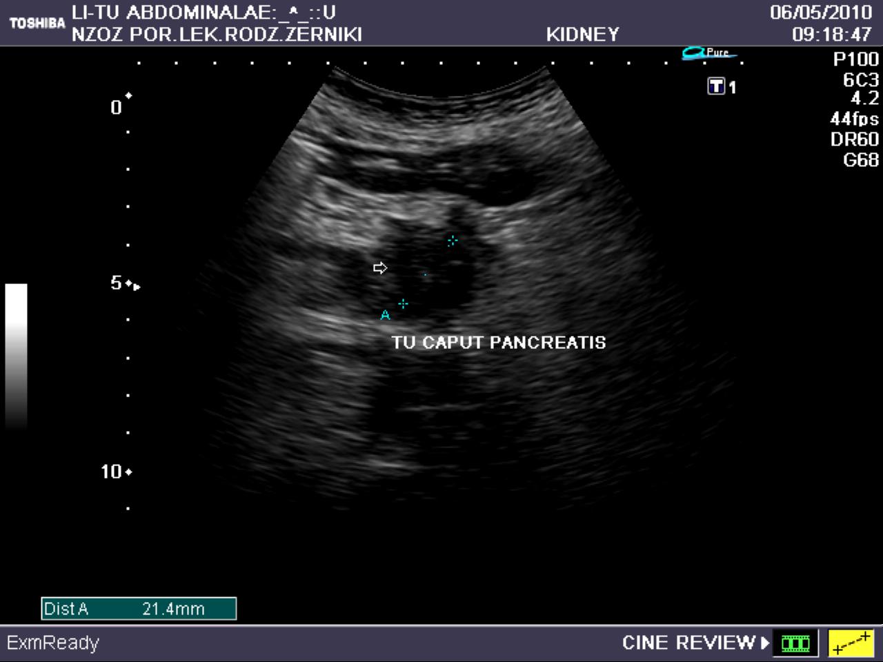
Rak trzustki
Rak trzustki
Rak trzustki